Dr. Mohajer Mohiuddin is a highly experienced and compassionate Dental & Oral Surgeon serving the Mymensingh region. Known for his patient-first approach, he combines 10 years of professional experience with advanced techniques in Root Canal Treatment (RCT), Cosmetic Dentistry, Orthodontic Braces & Aligners, and Digital Smile Designing (DSD).
As the leading consultant at DentCare Dental Clinic, located within Somota Diagnostic Center, Dr. Mohajer has helped thousands of patients overcome dental problems and regain their confidence. His clinical approach is rooted in the philosophy that “A beautiful smile begins with trust, care, and precision.”
Educational Qualifications & Specialized Training
Dr. Mohajer’s academic and professional credentials demonstrate his dedication to excellence:
- Bachelor of Dental Surgery (BDS)
- Postgraduate Training (PGT) in Orthodontics
- Postgraduate Training (PGT) in Oral & Maxillofacial Surgery
- Special Training in Orthodontics – Giftdent, India
- Dental Implant Training – Facial Surgery BD
- Digital Smile Designing (DSD) – Advanced Certification
This diverse academic background enables him to offer complete dental care — from basic preventive treatment to complex surgical and cosmetic procedures.
Designation & Role
Currently serving as a General Dental and Oral Surgeon, Dr. Mohajer provides comprehensive dental care covering preventive, restorative, and aesthetic needs. His clinical expertise bridges the gap between functional correction and cosmetic enhancement, ensuring patients receive personalized, evidence-based treatments.
Chamber Information & Appointment Details
DentCare Dental Clinic — A Modern Dental Experience
Dr. Mohajer is the founder and lead consultant of DentCare Dental Clinic, a modern dental facility situated inside Somota Diagnostic Center at Chorpora Mor, Mymensingh. The clinic is equipped with the latest dental technologies, offering patients an advanced yet comfortable experience.
- Clinic Name: DentCare Dental Clinic
- Location: Inside Somota Diagnostic Center, Chorpora Mor, Mymensingh
- Visiting Hours: 10:00 AM – 10:00 PM (Everyday)
- Consultation Fee: 500 BDT
- Appointment Number: 01511 505010
- WhatsApp Consultation: 01752 505010
- Direction: Google Map – DentCare Dental Clinic
- Visit Website
Key Facilities:
- Digital dental X-rays and intraoral cameras
- Ultrasonic scalers and rotary endodontic systems
- Fully sterilized instruments with infection control
- Comfortable environment for children and families
- Convenient online and in-person booking options
DentCare’s mission is to make quality dental care accessible and affordable to everyone in Mymensingh and nearby districts.
Areas of Expertise
Dr. Mohajer specializes in multiple fields of dentistry, ensuring comprehensive oral health for patients of all ages.
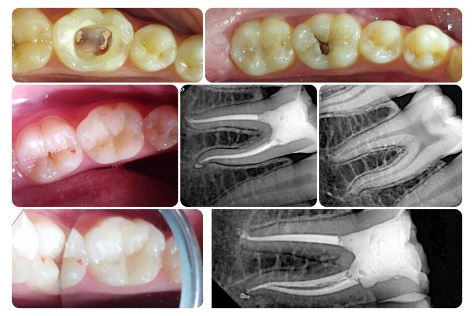
Root Canal Treatment (RCT)
With a focus on painless RCT procedures, Dr. Mohajer uses modern rotary instruments to clean infected canals thoroughly. His advanced methods preserve the natural tooth structure, minimizing discomfort and ensuring long-term success.
Orthodontics — Braces & Aligners
From traditional metal braces to modern invisible aligners, Dr. Mohajer provides customized orthodontic plans for children, teenagers, and adults. His international training in Orthodontics from Giftdent, India, allows him to deliver results that are both functional and aesthetically pleasing.
Cosmetic Dentistry & Smile Design
Using Digital Smile Designing (DSD) technology, he creates natural, beautiful smiles tailored to each patient’s facial features. Treatments include veneers, teeth whitening, and reshaping — ideal for patients seeking confidence and cosmetic improvement.
Dental Implants
Trained in Facial Surgery BD, Dr. Mohajer is skilled in placing dental implants that function and look like natural teeth. His precision ensures durable, aesthetic outcomes that restore oral health and self-esteem.
General & Preventive Dentistry
Regular checkups, scaling, fillings, and preventive education are part of his holistic care model. He emphasizes oral hygiene awareness, especially among young and rural patients, to prevent dental problems before they occur.
️10 Years of Dental Excellence
Over the past 10 years, Dr. Mohajer Mohiuddin has treated thousands of patients across Mymensingh, Jamalpur, and Netrokona. His reputation as a caring and skilled dentist has made DentCare Dental Clinic one of the most visited dental centers in the region.
His patients often describe his approach as gentle, honest, and thorough — qualities that have earned him the trust of families for generations.
“My goal is to make dental visits comfortable and fear-free for every patient, regardless of age or background.” — Dr. Mohajer Mohiuddin
Online Consultation & Accessibility
To make dental care accessible beyond Mymensingh city, Dr. Mohajer offers online consultation services via:
- WhatsApp: 01752505010
Patients can discuss their dental issues, share photos or reports, and receive initial advice before visiting the clinic — particularly helpful for those from remote or rural areas.
Ethical Practice & BM&DC Registration
Dr. Mohajer is a Bangladesh Medical & Dental Council (BM&DC) registered dentist (Reg. No. 8179). He upholds ethical and patient-centered standards of care, ensuring transparency and safety in every procedure.
His practice fully complies with national health regulations and international hygiene standards.
Patient Care Philosophy
Dr. Mohajer’s treatment philosophy centers around:
- Listening carefully to patients’ concerns
- Providing detailed, easy-to-understand explanations
- Offering cost-effective solutions without compromising quality
- Prioritizing patient comfort and long-term oral health
He ensures that every patient leaves with not only a better smile but also better knowledge about maintaining oral hygiene.
Community Dental Awareness Initiatives
Beyond his private practice, Dr. Mohajer is passionate about community dental awareness. He conducts outreach programs and free dental checkup camps through DentCare Dental Clinic, educating schoolchildren and rural families on oral hygiene, diet, and cavity prevention.
His initiatives have reached hundreds of families, helping to reduce the prevalence of preventable dental problems in the region.
Why Choose Dr. Mohajer Mohiuddin?
- 10 Years of Clinical Experience
- International Training in Orthodontics & Implants
- Advanced Equipment and Digital Smile Design
- Friendly Bilingual Communication (Bangla & English)
- Online Consultation Available
- Hygienic and Family-Friendly Clinic Environment
FAQs
Who is Dr. Mohajer Mohiuddin and what is his specialty?
Dr. Mohajer Mohiuddin is a General Dental and Oral Surgeon based in Mymensingh, Bangladesh. With 10 years of experience, he specializes in Root Canal Treatment (RCT), Cosmetic Dentistry, Orthodontic Braces & Aligners, and Digital Smile Designing (DSD).
Where is Dr. Mohajer Mohiuddin’s dental clinic located in Mymensingh?
He practices at DentCare Dental Clinic, located inside Somota Diagnostic Center, Chorpora Mor, Mymensingh. The clinic is easily accessible from all parts of the city and nearby areas.
➡️ Google Map: DentCare Dental Clinic, Mymensingh
What treatments does Dr. Mohajer provide?
Dr. Mohajer offers a wide range of treatments, including:
- Root Canal Treatment (RCT)
- Braces & Aligners
- Cosmetic Dentistry & Smile Makeover
- Dental Implants
- Teeth Whitening & Scaling
He combines modern tools with gentle care to ensure painless, lasting results.
Is online consultation available with Dr. Mohajer Mohiuddin?
Yes. Dr. Mohajer provides online consultations for patients across Bangladesh. You can reach him through WhatsApp at 01752 505010 or book via his official website — www.dentcare.com.bd.
What is the consultation fee at DentCare Dental Clinic?
The consultation fee is 500 BDT per visit. The clinic maintains transparent pricing and ensures affordable care for all patients.
What are the visiting hours for appointments?
Dr. Mohajer is available every day from 10:00 AM to 10:00 PM at DentCare Dental Clinic, inside Somota Diagnostic Center, Chorpora Mor, Mymensingh.
For appointments: 01511 505010
Does Dr. Mohajer perform painless root canal treatments?
Yes, he is known for performing painless and precise Root Canal Treatments using modern rotary endodontic systems and digital X-rays. Many patients describe his RCT procedure as quick, comfortable, and long-lasting.
Does DentCare Dental Clinic offer braces and aligner treatments?
Absolutely. Dr. Mohajer provides both traditional metal braces and invisible aligners to correct misaligned teeth. His international training from Giftdent (India) ensures orthodontic treatments meet global standards.
Is Digital Smile Designing (DSD) available in Mymensingh?
Yes! Dr. Mohajer is one of the few dentists in Mymensingh certified in Digital Smile Designing (DSD) — a modern technique that allows you to preview your smile before starting treatment. It’s part of his cosmetic dentistry service at DentCare Dental Clinic.
Final Words — Because Every Smile Matters
Whether you need a simple filling, a full smile makeover, or advanced orthodontic treatment, Dr. Mohajer Mohiuddin and his team at DentCare Dental Clinic are here to help you smile with confidence. His expertise, empathy, and state-of-the-art practice make him one of the most respected dental professionals in Mymensingh.
Book Your Appointment Today: Call 01511 505010
WhatsApp Consultation: 01752 505010
Address: Somota Diagnostic Center, Chorpora Mor, Mymensingh


